narkologia-40.ru
narkologia-40.ru

時代 x 光 化驗 中心 收費 (99) 사진

政府婦科檢查】全年年費$310!比私家診所平O倍的秘密!預約流程+收費+地址全攻略

渣打信用卡客戶尊享| 港怡醫院

K粉優惠x 時代體檢中心:2025年5月現正開放預約】 K粉優惠體檢計畫,2025年5月現正開放預約喇。  快d喺過年前做體檢,預備迎接美好健康的新一年啦😉 ♥️ 關心自己、關心親人,防範於未然

浙江省能源集团有限公司2023 年面向专业投资者公开发行科技创新公司债券(第一期)募集说明

精明投資「您」想樂齡生活- 房協長者通

荃灣身體檢查推介荃灣體檢中心地址、電話、收費一覽| ESDlife健康網購

【香港經濟日報】房協屢創優質管理新典範囊括三大獎項顯實力- 房協長者通

公立醫院收費改革殺到!門診醫療保險如何選擇?

深圳醫療| 深圳和睦家私家醫院,收費比香港平一截, CT 掃描/磁力共振香港6 折價錢,身體檢查計劃$4,350起

擔心身體有問題,仲要慢慢排?真係未知有無事都驚餐懵... 防範於未然,年年驗身令你放心。 ~~~~~~~~~ 【K粉優惠x 時代體檢中心:

傳媒中心| Hong Kong Breast Cancer Foundation - 定期乳檢助偵測腫瘤變化(2022-8-25)

消化系| 特色介紹- 中國醫藥大學附設醫院

認可驗身醫生- 化驗所- 診斷中心目錄| PDF

沈志堅- 🏥【政府医院收费到底补贴了多少?看这一张账单就懂了!】 这是一位病患在政府医院住院3 天、做了心电图、验血、X 光、甚至CT 脑部扫描

擔心身體有問題,仲要慢慢排?真係未知有無事都驚餐懵... 防範於未然,年年驗身令你放心。 ~~~~~~~~~ 【K粉優惠x 時代體檢中心:

中国葛洲坝集团有限公司

深圳和睦家醫院身體檢查】檢查專案、收費、折扣方法、廣東話醫生等常問問題| 大灣區旅遊情報網(By Runhotel)

Exclusive Offer Quality HealthCare Membership Privilege Program 卓健會員專享優惠計劃

中醫院12.11分階段運作門診料服務40萬人次|大紀元時報香港|獨立敢言的良心媒體

2026香港私家醫院體檢比較|最新10大醫院驗身收費、特色項目及Welloft預訂攻略| 女士健康男士健康| Welloft

紅粉醫療保障增值服務

卓健醫療】電話、地址、收費及服務範疇一覽

全運會限時優惠| 港怡醫院

深圳和睦家醫院身體檢查】檢查專案、收費、折扣方法、廣東話醫生等常問問題| 大灣區旅遊情報網(By Runhotel)

急症室加價至$400 當局指系統有空間酌情處理 籲勿元旦凌晨「衝閘」

勿讓市民及急症室醫護成為分級收費的犧牲品

YES護理新知| 中醫醫院設開院收費優惠💰】 . 位於百勝角的香港中醫醫院已開始投入服務,部分服務於開院首年會以7至9折收費及設有費用減免機制,惠及基層市民。市民現已可透過網站、熱線或流動應用程式預約服務。  . 想裝備自己?YES 有一系列中醫課程,

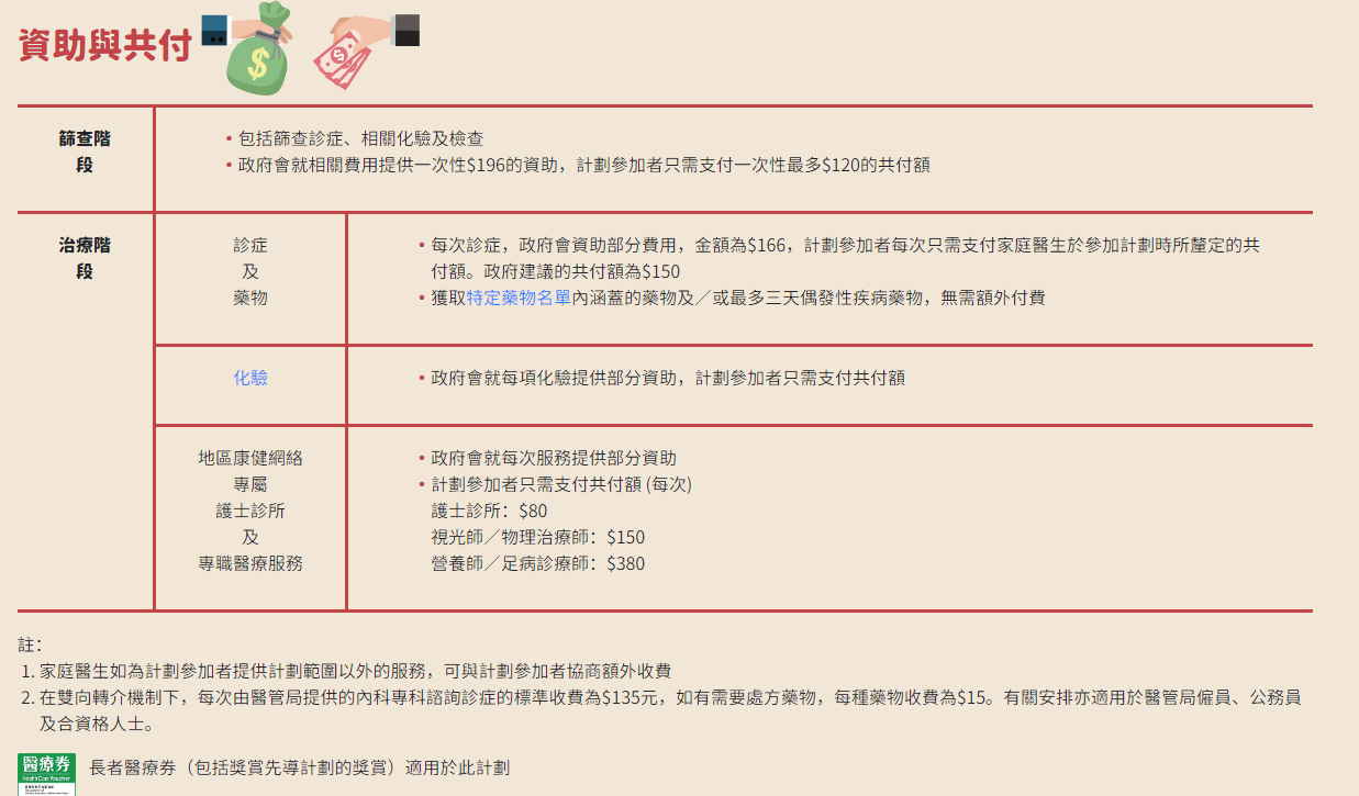
慢病共治計劃3月28日起實施提供弱勢社群預防篩查服務|大紀元時報香港|獨立敢言的良心媒體

時代醫療服務中心| 時代醫療集團| Medtimes | ESDlife健康網購

樂齡科技融入院舍生活- 房協長者通

女性身體檢查推薦2026 | 必做子宮頸柏氏抹片及乳房超聲波檢查!8間女性身體檢查體檢中心/醫療中心項目、價錢及優惠比較(持續更新) |  healthyD.com

荃灣身體檢查推介荃灣體檢中心地址、電話、收費一覽| ESDlife健康網購

消委會|26間私院/體檢中心大比併!收費相差逾9倍!驗身邊間好?檢查項目愈多愈好?3成體檢計劃無醫生參與診斷?(附33個驗身計劃詳情) | 健康大晒-

播道醫院Evangel Hospital |  【#播推廣】60週年院慶放射診斷服務優惠播道醫院秉持「以醫為愛以愛為醫」的理念,多年來為社區提供優質且可負擔的醫療服務,傳遞關愛與平安。... |  Instagram

身體檢查邊間好2026| 體檢中心/醫院推介| 60+全身檢查套餐比較| ESDlife健康網購

傳媒中心| Hong Kong Breast Cancer Foundation - 抽針檢查會否引致乳癌擴散? (2025-8-6)

門診保險比較2024】12款產品大比拼普通科、專科、中醫收費及保障全披露

消委會|26間私院/體檢中心大比併!收費相差逾9倍!驗身邊間好?檢查項目愈多愈好?3成體檢計劃無醫生參與診斷?(附33個驗身計劃詳情) | 健康大晒-

傳媒中心| Hong Kong Breast Cancer Foundation - 乳癌期數與級數的分別(2025-4-28)

放射诊断服务|磁力共振造影最新一代扫瞄仪器- 香港港安医院–司徒拔道

放射诊断服务|磁力共振造影最新一代扫瞄仪器- 香港港安医院–司徒拔道

洪梅镇卫生院(世道医院)打造15分钟黄金急救医疗圈- 海丝商报数字报

深圳和睦家醫院身體檢查】檢查專案、收費、折扣方法、廣東話醫生等常問問題| 大灣區旅遊情報網(By Runhotel)

【羅湖口岸/深圳睇牙】港人專屬福利🔥可免費口腔檢查🤩免費超聲波潔牙1次👍🏻實拍詳細睇牙流程🤗香港1/3價錢  高質睇牙服務✨免費專車接到場‼️33年老字號 深圳醫療質量A級單位😌深圳博愛曙光醫院

身體檢查推介2026|10大香港私家醫院體檢中心比較+健康顧問專業建議| 女士健康男士健康| Welloft

大陸檢測隊今抵華大基因化驗所周邊佈滿食品廠惹質疑|大紀元時報香港|獨立敢言的良心媒體

傳媒中心| Hong Kong Breast Cancer Foundation - 如何監察乳癌復發? (2025-7-10)

消化系| 特色介紹- 中國醫藥大學附設醫院

勿讓急症室醫護成為分級收費的犧牲品| 醫善同行

身體檢查邊間好2026| 體檢中心/醫院推介| 60+全身檢查套餐比較| ESDlife健康網購

精緻方案7版| PDF

平價體檢推介2025】想保持健康,定期檢查係關鍵!💪 香港平價身體檢查選擇多,入門版檢查優惠組合$550起,基本項目齊全,性價比高!⚡ 👉  立即了解檢查項目詳情、優惠組合同預約流程:https://tinyurl.com/w5benkn5 #健康生活#

VTC社區參與獎勵計劃頒獎禮暨VCare大使計劃啟動禮- 房協長者通

消委會|26間私院/體檢中心大比併!收費相差逾9倍!驗身邊間好?檢查項目愈多愈好?3成體檢計劃無醫生參與診斷?(附33個驗身計劃詳情) | 健康大晒-

2023身體檢查】體檢前必看!50+體檢套餐價格及項目比較

聯絡我們| 精確醫療

政府健康院婦科檢查性價比高、預約年費$310起|附名單/費用詳細

新华每日电讯-微报纸-2025年03月17日

中大醫院引入嶄新#Histotripsy組織碎化技術】嶄新無創肝臟腫瘤治療中大醫院引入嶄新「Histotripsy組織碎化技術」,技術利用高強度聚焦超聲波照射及破壞肝臟腫瘤。治療程序在全身麻醉下進行,過程中不涉及皮膚穿刺或肝臟針刺介入。組織碎化技術透過超聲波影像實時定位肝臟  ...

公立醫院轉介優惠】 KPM 九龍半島醫學中心關心每一位病人健康,凡經醫管局轉介的個案,病人只需憑轉介信來預約檢查服務,便可獲得最多低至半價的檢查優惠。  正電子及電腦斷層掃描

身體檢查推介2026|10大香港私家醫院體檢中心比較+健康顧問專業建議| 女士健康男士健康| Welloft

2026香港私家醫院體檢比較|最新10大醫院驗身收費、特色項目及Welloft預訂攻略| 女士健康男士健康| Welloft

2026 精選】尊尚全身磁力共振健康檢查| 身體檢查| 全仁醫務中心

齐鲁晚报

身體檢查推介2026|10大香港私家醫院體檢中心比較+健康顧問專業建議| 女士健康男士健康| Welloft

Exclusive Offer Quality HealthCare Membership Privilege Program 卓健會員專享優惠計劃

新华每日电讯-微报纸-2023年08月18日

Untitled

上水廣場驗身】上水體檢中心推介、地址、電話、收費一覽| ESDlife健康網購

門診保險比較2024】10款產品大比拼普通科、專科、中醫收費及保障全披露

勿讓市民及急症室醫護成為分級收費的犧牲品

厦港街道社区卫生服务中心-厦门大学附属第一医院

政府婦科檢查】全年年費$310!比私家診所平O倍的秘密!預約流程+收費+地址全攻略

全運會限時優惠| 港怡醫院

空汙日趨嚴重肺癌風險增醫師籲做肺癌篩檢守護健康| 台灣好新聞報| 地方新聞- 風傳媒

健康檢查不必跨境香港更安心🏥】📅預約: https://tinyurl.com/3dcha4pk  跨境檢查真的更好嗎?其實,選擇香港檢查,不僅節省時間,還能享受更多專業與便利: 為什麼選擇香港檢查? 1️⃣ 免去來回奔波:  不必花時間過關、排隊及應對交通問題,避免舟車勞頓。 2️⃣ 清晰的 ...

元朗身體檢查推介元朗體檢中心地址、電話、收費一覽| ESDlife健康網購

情繫萬家:美麗人生(嘉賓:溫碧霞) - 房協長者通

Medtimes 時代醫療集團:官方網站

雋友同悦樂人生- 房協長者通

醫療津貼2025|港島樂妍站周四啟用即睇政府八大醫療津貼項目免費睇牙、篩查癌症- 有線寬頻i-CABLE

工聯會- 【會員優惠】工人醫療所-附加視光檢查優惠優惠期: 2024年12月01日起優惠對象:工聯會屬會及贊助會會員優惠內容: 定期驗眼好處多!凡參加 X光化驗所任何一項「健康檢查服務」計劃,可於3個月內,以低至$304會員價,接受一級註冊視光師的專業檢查。 #工聯會#

什麼情況下該帶貓狗去看獸醫?動物醫院收費標準又是如何計算呢?

傳媒中心| Hong Kong Breast Cancer Foundation - 抽血驗乳癌有欠準確(2024-02-19)

時代醫療Medtimes官方網站|香港一站式醫療服務中心-醫療設備

傳媒中心| Hong Kong Breast Cancer Foundation - 「腫瘤標記」檢查靠譜嗎? (2025-8-13)

進階及全面健康檢查計劃套餐— 港怡醫院醫健診所(中環) | 港怡醫院

全面身體檢查|驗身體檢計劃|常規健康檢查|健康檢查項目-Medtimes時代醫療

全康男士| 香港中文大學醫院

投影片1

深圳和睦家醫院身體檢查】檢查專案、收費、折扣方法、廣東話醫生等常問問題| 大灣區旅遊情報網(By Runhotel)

Mastercard持卡人專享| 港怡醫院

西醫診所

Untitled

cancerinfo-admin – 頁面14 – 癌症資訊網

女醫護主理2D/ 3D乳房造影(夾胸檢查) | 公院轉介折扣優惠|Venus妍慧

2026 精選】尊尚全身磁力共振健康檢查| 身體檢查| 全仁醫務中心

放射診斷| 診斷服務| 醫療服務| Evangel Hospital

20 февраль 0 0
2023 copyright text.